Gum Disease

These symptoms are often silent and not painful until it is advanced. In order to prevent tooth loss, the dentist and their Hygienist will customize your treatment if you are diagnosed with a periodontal condition, This maintenance is necessary even if you have had periodontal surgery or a non-surgical treatment. Periodontal visits are required on a more frequent basis than the six month interval often recommended for patients with healthy gums.
Periodontal disease is diagnosed by your dentist or dental hygienist during a periodontal examination. This type of exam should always be part of your regular dental check-up.
A periodontal probe (small dental instrument) is gently used to measure the sulcus (pocket or space) between the tooth and the gums. The depth of a healthy sulcus measures three millimeters or less and does not bleed. The periodontal probe helps indicate if pockets are deeper than three millimeters. As periodontal disease progresses, the pockets usually get deeper.
Your dentist or hygienist will use pocket depths, amount of bleeding, inflammation, tooth mobility, etc., to make a diagnosis that will fall into a category below:
Gingivitis
Gingivitis is the first stage of periodontal disease. Plaque and its toxin by-products irritate the gums, making them tender, inflamed, and likely to bleed.
Periodontitis
Plaque hardens into calculus (tartar). As calculus and plaque continue to build up, the gums begin to recede from the teeth. Deeper pockets form between the gums and teeth and become filled with bacteria and pus. The gums become very irritated, inflamed, and bleed easily.Slight to moderate bone loss may be present.
Advanced Periodontitis
The teeth lose more support as the gums, bone, and periodontal ligament continue to be destroyed. Unless treated, the affected teeth will become very loose and may be lost. Generalized moderate to severe bone loss may be present.
Periodontal treatment methods depend upon the type and severity of the disease. Your dentist and dental hygienist will evaluate for periodontal disease and recommend the appropriate treatment.
Periodontal disease progresses as the sulcus (pocket or space) between the tooth and gums gets filled with bacteria, plaque, and tartar, causing irritation to the surrounding tissues. When these irritants remain in the pocket space, they can cause damage to the gums and eventually, the bone that supports the teeth!
If the disease is caught in the early stages of gingivitis, and no damage has been done, one to two regular cleanings will be recommended. You will also be given instructions on improving your daily oral hygiene habits and having regular dental cleanings.

If the disease has progressed to more advanced stages, a special periodontal cleaning called scaling and root planning (deep cleaning) will be recommended. It is usually done one quadrant of the mouth at a time while the area is numb. In this procedure, tartar, plaque, and toxins are removed from above and below the gum line (scaling) and rough spots on root surfaces are made smooth (planning). This procedure helps gum tissue to heal and pockets to shrink. Medications, special medicated mouth rinses, and an electric tooth brush may be recommended to help control infection and healing.
If the pockets do not heal after scaling and root planning, periodontal surgery may be needed to reduce pocket depths, making teeth easier to clean. Your dentist may also recommend that you see a Periodontist (specialist of the gums and supporting bone).
It only takes twenty four hours for plaque that is not removed from your teeth to turn into calculus (tartar)! Daily home cleaning helps control plaque and tartar formation, but those hard to reach areas will always need special attention.
Once your periodontal treatment has been completed, your dentist and dental hygienist will recommend that you have regular maintenance cleanings (periodontal cleanings), usually four times a year. At these cleaning appointments, the pocket depths will be carefully checked to ensure that they are healthy. Plaque and calculus that is difficult for you to remove on a daily basis will be removed from above and below the gum line.
In addition to your periodontal cleaning and evaluation, your appointment will usually include:

- Examination of diagnostic x-rays (radiographs): Essential for detection of decay, tumors, cysts, and bone loss.X-rays also help determine tooth and root positions.
-
Examination of existing restorations: Check current fillings, crowns, etc.
-
Examination of tooth decay: Check all tooth surfaces for decay.
-
Oral cancer screening: Check the face, neck, lips, tongue, throat, cheek tissues, and gums for any signs of oral cancer.
-
Oral hygiene recommendations: Review and recommend oral hygiene aids as needed. (Electric toothbrushes, special periodontal brushes, fluorides, rinses, etc.)
-
Teeth polishing: Remove stain and plaque that is not otherwise removed during tooth brushing and scaling.
Good oral hygiene practices and periodontal cleanings are essential in maintaining dental health and keeping periodontal disease under control!
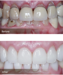
Gum Lift
A gummy smile is one of the most overlooked conditions in dentistry. Patients usually accept this condition thinking they just have short teeth. The problem, however, is not short teeth, but most often, excessive tissue. Excess gum tissue covers the unexposed enamel resulting in a gummy smile. Lifting the gums can make a dramatic improvement in the smile.
The cosmetic dentist must be keenly aware of how the gums frame the teeth. The best aesthetic results will be achieved only if all components of the smile are properly evaluated and treated.
