Patient Testimonials
The results were excellent and experience virtually painless. I'd recommend Dr. Mack to anyone who needs an extremely professional and top notch dentist.
Dr. Mack helped me to finally feel comfortable and no longer fear the dentist thanks to his superior bed side manner. If you're looking for a great dental office with professional staff I highly recommend this place.
Dr. Mack was by far the best and most knowledgeable dentist I have seen thus far. I have never had great teeth, and have been considering implants for quite sometime. Tina, Holly and the entire staff were courteous and helpful.
The front desk, hygienist, and dentists are all fantastic! My husband is kind of jealous that he can't go to them bc they don't accept his insurance(united concordia-active duty member), they are just so friendly! My son will also be going to this office when he turns five.
Mini Dental Implants Can Change Your Life


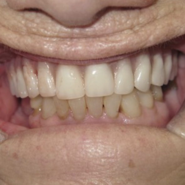
Fixed on Six® Hybrid
Similar to the Fix on Six this is a patient that has a hybrid denture. The patient has all their top teeth missing. The denture is fabricated around metal framework that have holes where the implants are permanently cemented to create a permanent acrylic bridge. The cost of this procedure is usually affordable by all which makes a great permanent solution for a patient that can not afford a porcelain or zirconia roundhouse.o.


Ceramic Roundhouse
A ceramic roundhouse was used to replace this patients smile. With a roundhouse about 10 to 14 mini implants are used to permanently fix a ceramic or zirconia roundhouse. The roundhouse gives the patient the most natural smile with ceramic teeth. The patient can use his teeth just as they would if they were their own. The ceramic roundhouse is by far the most natural looking and feeling option to replace an indentureless smile.


Fixed on Six® Hybrid
This case allows the patient to have a permanent fixed acrylic bridge. The bridge is permanently cemented onto six mini dental implants which allows the patient to feel as if they had their own teeth. This is an extremely affordable option for a patient that wishes a non removable appliance.


Denture Stabilization
Sometimes an upper and lower denture can be loose and uncomfortable. In this case both the upper and lower dentures were stabilized to create a beautiful outcome. The denture is easier to wear and sore spots heal.