Why Choose Us For Mini Dental Implants?

Specially Trained Staff
Our caring staff is specially trained to assist with your mini implant treatment. Because this is a focus of our practice, our staff members are experienced with all aspects of implant treatment, and often continue their education through special doctor and staff training programs.
Our Equipment & Facility
This state of the art facility contains the most modern equipment available to deliver these specialized services, and meets or exceeds the highest quality standards of safety and infection control.
Proven Results
Thousands of mini dental implants have been placed and studies demonstrate a success rate greater than 95% when provided by properly trained and experienced dentists. Ask our dentist if you are a candidate for these procedures today.
Traditional Implants vs. Mini Implants


Benefits of Minis:
• Simple, gentle, non-surgical procedure
• Immediate results
• Restored confidence with speaking and eating
• Improved attractiveness of your smile
• Cost effective
• Anchoring for dentures or cemented crowns & bridges
• Preserves bone and facial structure
Stabilize your loose dentures in one visit!
Imagine smiling, eating and speaking with confidence and comfort again!
Our dentist and caring staff will listen to you and develop a plan to reach your goals. You can get started on your very first visit with all the necessary x-rays and impressions. Why wait? Turn your dreams of a more comfortable and attractive smile into a beautiful reality!
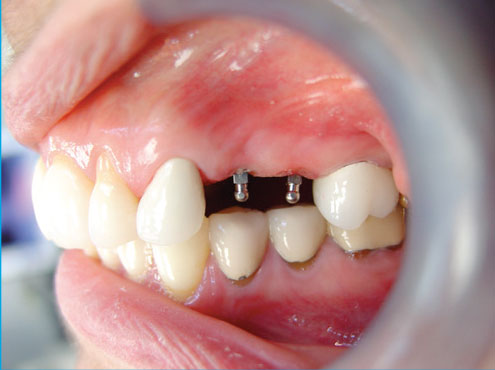
Denture Retentive System:
1. Your denture is fabricated as a normal denture.
2. Four or more implants are placed in one visit. The procedure requires only a few drops of local anesthesia. Each implant is placed quickly and easily. Your denture is then retro-fitted to snap on the mini implant retention heads. The mini implant system requires no extensive surgery, and with some care are ready for immediate use.
3. Laugh, smile, and speak with confidence and comfort.
Simple Process

Step #1
Consultation and pre-op

Step #2
Implant Placed

Step #3
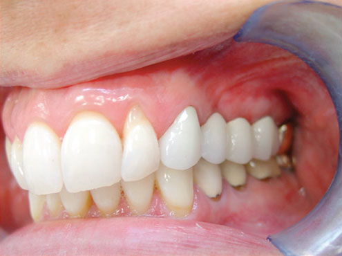
Restoration Placed
Replace Your Missing Teeth Instantly!
Today, use of this non-surgical mini dental implant technology has been expanded for anything from replacing a single tooth to full mouth restoration. Thousands of implants have been placed with over a 95% success rate using these cost effective procedures.
The entire process consists of a consultation visit to your dentist with x-rays and impressions being taken. Then, at one treatment visit, your officially trained dentist will place the mini implant(s). In about 30 minutes, a single tooth can be replaced without the need to grind down healthy tooth enamel.
You can walk out ready to enjoy the foods you wish, without the long healing times and high costs associated with conventional implants. This same procedure can be used to replace multiple missing teeth usually in about an hour.
The results were excellent and experience virtually painless. I'd recommend Dr. Mack to anyone who needs an extremely professional and top notch dentist.
Dr. Mack helped me to finally feel comfortable and no longer fear the dentist thanks to his superior bed side manner. If you're looking for a great dental office with professional staff I highly recommend this place.
Dr. Mack was by far the best and most knowledgeable dentist I have seen thus far. I have never had great teeth, and have been considering implants for quite sometime. Tina, Holly and the entire staff were courteous and helpful.
The front desk, hygienist, and dentists are all fantastic! My husband is kind of jealous that he can't go to them bc they don't accept his insurance(united concordia-active duty member), they are just so friendly! My son will also be going to this office when he turns five.