2460 N Essex Avenue Hernando, FL 34442

(352) 269-5090

Opening Hours

Mon-Fri 9:00 AM - 5:00 PM Sat & Sun: Closed

Book Appointment

Your perfect smile is a click away!

Opening Hours

Mon-Fri 9:00 AM - 5:00 PM Sat & Sun: Closed

Book Appointment

Your perfect smile is a click away!

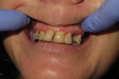
Gallery

Our Gallery

Get the smile you deserve

Make your dream smile a reality!

We take great satisfaction in helping you maintain optimal oral health. Our practice is devoted to comprehensive and preventive patient care.